歯の治療には、健康保険が適用される「保険治療」と、適用されない「自費治療」の2種類があります。
当院では保険治療全般のほかに、つめもの、かぶせもの(冠)、ブリッジ、入れ歯、インプラント、ホワイトニングに対する自費治療を行っています。
体へのやさしさ、使い心地の良さ、見た目の良さを求める方には自費治療をお勧めしています。
ここでは自費治療に使用する材料の種類や特徴について説明します。不明な点は直接スタッフにご相談ください。
まず、ブリッジ、入れ歯、インプラントの特徴をまとめます。
※横にスクロールしてご覧ください
|
ブリッジ |
入れ歯 |
インプラント |
|---|---|---|---|
保険適用 |
両方あり |
両方あり |
適用外 |
取り外し |
不要 |
必要 |
不要 |
周囲の歯の治療 |
大きく削る |
少し削る |
削らない |
外科処置 |
不要 |
不要 |
必要 |
治療期間 |
約1~3か月 |
約1~3か月 |
約2~12か月 |
次に、それぞれについて詳しくみていきます。
※横にスクロールしてご覧ください
材料 |
特徴 |
費用 |
|
|---|---|---|---|
オールセラミック
|
長所:歯の色調を再現しやすい。歯垢がつきにくい。欠けにくい。歯を削る量が少ない。金属を使わない。 |
約10万円~ |
|
メタルボンド
|
長所:歯の色調を再現しやすい。歯垢がつきにくい。 |
約8万円~ |
|
ハイブリッド
|
長所:白い(樹脂により作製するため)。 |
約5万円~ |
|

医学的根拠にもとづいて入れ歯を設計します。種類と費用は以下の通りです。
|
|
費用 |
|---|---|---|
総入れ歯 |
チタン |
約26万円〜 |
コバルトクロム |
||
部分入れ歯 |
チタン |
|
コバルトクロム |
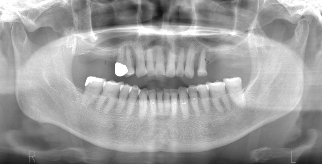
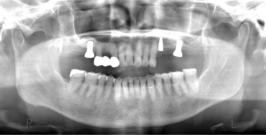
院長は、外科処置に関する口腔外科の専門医資格である公益社団法人日本口腔外科学会認定口腔外科専門医(第2055号)、NPO法人日本口腔科学会認定医(3-16046)、インプラントの専門医資格である公益社団法人日本口腔インプラント学会専門医(第1103号)を持っています。また、インプラントの国際的非営利学術組織 International Team for Implantology (ITI)の日本支部公認インプラントスペシャリスト に認定されています。さらに、全国規模のインプラント治療シンポジウム(医療関係者向け)、地域でのインプラント治療セミナーなどで講師を務めており、歯科医師や歯科衛生士に対する教育活動を行っています。
インプラント治療は外科処置を伴うためにリスクがあります。下顎の神経(下歯槽神経)を傷つけないように、上顎の骨の空洞(上顎洞)に突き抜けないように計画します。ゆえに、歯科医師は、最新の知識による十分な検査と確かな診断ができ、技術に熟練している必要があります。
ストローマン社製インプラントは、骨との結合が非常に良く、また、トラブルの出にくいインプラントであることが分かっています。
また、世界シェアNo.1であることから日本でも使用している歯科医院が多いため、引っ越しなどの際には、次の歯医者さんを紹介することもできます。



インプラント治療をした患者さんがのちのち困るのは、いつどこでどんな治療をしたのか分からなくなってしまうことです。そのようなことを避けるため、図のようなインプラントパスポートを用意しています。

また、全国規模のインプラント歯科医師ネットワークを持っているため、引っ越しなどの際には、次の歯医者さんを紹介することもできます。
インプラントと関連処置の内容と費用をまとめます。当院では、症状(骨の状態、インプラント本数など)と患者さんの希望を十分に考慮したうえで、医学的根拠にもどつく最適な治療をお勧めします。
|
内容 |
費用 |
|---|---|---|
インプラント(1本あたり) |
検査、診断、治療、消毒、薬などすべて含まれます(詳しくはこちら)。 |
約44万円~ |
GBR(骨増生術) |
人工骨を使用して増生する処置です(詳しくはこちら)。 |
約6万円~ |
上顎洞底挙上術 |
上顎の奥歯の部分に骨を作る処置です。(詳しくはこちら)。 |
約20万円~ |
自家骨移植術 |
患者さんご自身の骨を移植する処置です(詳しくはこちら)。 |
約10万円~ |
周りの歯の状態、埋入する部位の骨の状態、必要な治療などにより費用は変わることがあります。
骨の形によっては、インプラントを埋入すると一部が口の中に露出することがあります。露出した部分をそのままにすると細菌が集まり、骨が吸収する原因となるので、露出した部分には人工骨などで覆い骨を作ります。先に人工骨で骨を作り、しっかりと骨ができた段階でインプラントを埋入することもあります。

インプラントを埋入すると部分的に露出したので人工骨で覆いました。




インプラント埋入のために、上顎の奥歯の骨の厚みが足りない場合に骨を作る処置です。もともとの骨の厚みにより、ソケットリフトもしくはサイナスリフトを選択します。骨を作る程度により治療内容や期間はさまざまです。


上顎の骨を持ち上げて同時にインプラントを埋入しました。





人工骨を充填するだけでは骨を十分に作れない時、患者さんが人工骨の使用に抵抗がある時に、口の中の骨を移植します。


